Definitions and causes
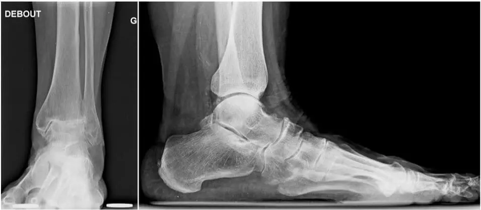
Osteoarthritis can be defined as the presence of degenerative lesions, wear and local or generalized reduction and/or loss of cartilage at the level of a joint. Several mechanical causes may lead to this: repeated sprains, instability, experienced fractures, osteochondral injuries… On radiographs, we can see an asymmetric narrowing of the joint space, a condensation of the underlying bone, formation of bone growth, cyst formation,….
In case of arthritis, there is a more homogeneous destruction of the cartilage, by, often, autoimmune disorders such as rheumatoid arthritis, psoriasis,… This almost always means that the capsule is weaker and of lower quality as a result of which it is sometimes difficult to preserve the mobility of the joint. A choice must then be made between an increased risk of recurrence versus performing an arthrodesis. On radiographs, the joint space is more symmetrically affected.
Treatment
Before describing the different operations, it should be mentioned that almost all patients get an infiltration with cortisone in advance, with two goals:
- Diagnostic purpose: except in advanced osteoarthritis, we have a confirmation that the osteoarthritis is the cause of the pain if there is improvement;
- Therapeutic purpose: if you have no more pain, the treatment for you is such an infiltration.
Depending on the age, weight, daily activities, history of the joint, professional activities,… both in the case of osteoarthritis and arthritis, one or more of the following treatment methods can be proposed:
- Orthopedic shoes: these custom-made shoes, tailored differently for each syndrome, are definitely a valuable alternative if surgery is not possible or if you are not ready for it. No fear, there is also fashion within the range of (semi) orthopedic shoes!
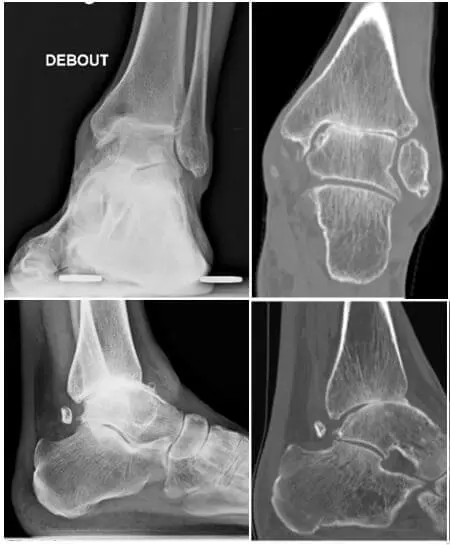
- Arthroscopy: in some cases we find that the main burden of pain you suffer from is located where the bone growth is present, and not or at least much less deep inside the joint itself. These “osteophytes”, as we call them, are actually a protective mechanism of a joint to redistribute the pressure over a larger surface area. The reduced pressure per square mm that follows from that, should lead to a reduction in pain sensation. We almost always find this bone growth at opposite sides of the joint. Then when the joint moves, the soft tissues between the osteophytes will be compressed and get inflamed after a while. This gives the opportunity to generate the pain that you know well during the consultation. If the pain is recognisable and a local anaesthetic injection or an injection with cortisone has reduced the pain with at least 50%, we can suspect that your complaints mainly arise from that conflict between osteophytes. In this case, you are a candidate to undergo an exploratory arthroscopic operation, during which the relevant part of the joint is debrided to reduce inflammation.
We could say that despite all good precautions, such an operation, depending on the degree of underlying osteoarthritis, has a success rate of about 50%. The worst thing that can happen to you, is that the deep pain inside the joint, due to the already existing osteoarthritis, predominates. If that happens, we are back to where we started before the operation, and then, an arthrodesis or prosthesis should be considered.
- Supramalleolar and/or calcaneal osteotomy: when a joint is not parallel to the ground, and only affected by this misalignment on one side of the joint, we can propose a supramalleolar and/or calcaneal osteotomy. The aim is to bring the gravity force and other forces involved around this joint back into balance and to let them pass onto the main and still healthy part. This is, in very specific cases, well worth doing and it may win some years before having to switch to an arthrodesis or a prosthesis.
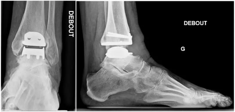
Prosthesis: With this, the diseased joint is replaced with an artificial joint. If adjacent joints, whether or not symptomatic, show signs of osteoarthritis, and in case you persist in maintaining the joint mobility, we can implant a prosthesis.
Recently, there is a reimbursement for the various components of the prosthesis, but only in certain cases. In addition, there has to be a correct follow-up in the years after the operation.The advantages are the preservation of motion, through which one protects the adjacent joints, and the fact that patients – if wearing a walker – are allowed to lean after 3 weeks already. However, the major disadvantage is that a prosthesis of the ankle has a shorter life span than at the knee or hip. Often, one has to perform a revision with prosthesis or arthrodesis after 10-15 years.
Massive allograft or distraction arthroplasty: these are more experimental operations, the results of which are less reliable. With massive fresh frozen allograft, we implant a joint with corresponding size of a recently deceased donor, instead of an artificial joint. However, early cartilage disease often occurs, with collapse of the bone graft.With ankle distraction arthroplasty, an external fixator is applied around the ankle for a few months, and the ankle is stretched out. In this way, it is hoped that a layer full of cure products is piled between the joint surfaces.
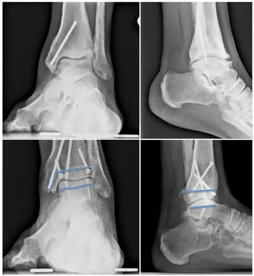
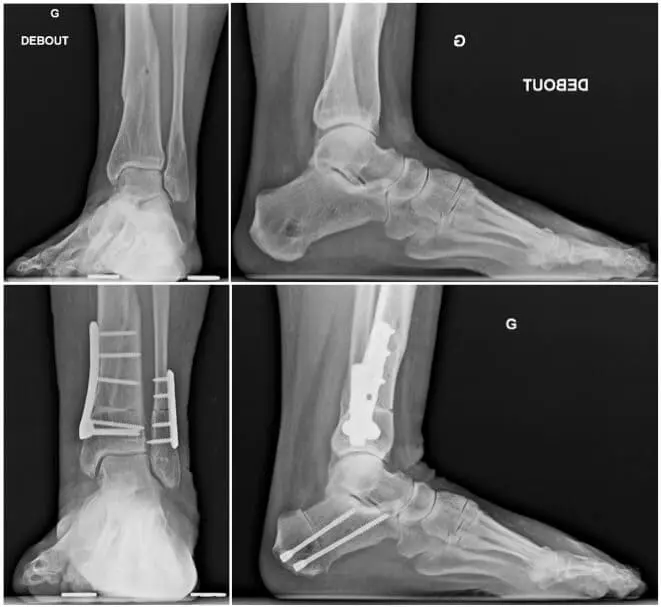
Arthrodesis: In advanced cases of osteoarthritis or arthritis, this remains seen as the gold standard treatment. The joint is fixed into its neutral position by means of open surgery or arthroscopy. The advantages are that it is a very reliable operation with clearly positive results over the years, and that it is a single procedure. Disadvantages are the prohibition to lean on the ankle and a plaster for 2 months after the operation, but mainly the fact that after an indefinite period (20-30 years), degenerative disorders may occur in the adjacent joints. These should take over part of the mobility of the ankle.
