Definition
Metatarsalgia can be literally translated as pain under the metatarsal (= metatarsal bones) heads.
Symptoms and origins
This pain is typically found at the bottom of the tip of the foot, where the toes begin. It is a stress-related pain, which is due to a pressure at that specific place. Callus formation is often a sign and can be present very locally, e.g. under the second metatarsal head, or more spread over the entire forefoot. Most patients get pedicures or podiatric care for a while, but the callus returns again and again.
As long as the overpressure, and thus the cause, is not handled, the callus will always redevelop. So, some overpressure problems are treated as warts. To speak of metatarsalgia, callus does not need to be present.
The overpressure may also manifest itself in other ways, but they are always variations on the broad term “metatarsalgia”: a stress fracture of the metatarsal or phalanx, a rupture of the stabilizing plantar structure of the metatarsophalangeal joints:
A dislocation of the toe, the formation of hammer toes,…
Causes
Multiple causes may underlie this problem. The overpressure may be due to a shortened Achilles tendon:
- A metatarsal which is anatomically too long or to steep compared to the other
- An age-related sagging of the forefoot
- Often in combination with hallux valgus
- In certain high arched feet
- In certain neurological disorders
Treatment
The treatment is primarily non-operative. The pressure on the forefoot can be reduced by performing stretching exercises at the level of the lower limb, mainly of the Achilles tendon. Custom-made orthopaedic or podiatric insoles might as well redistribute the pressure under various metatarsal heads.
Sometimes, in very specific cases, an infiltration, followed by 6 weeks of taping, can bring some comfort.
If these treatments are not sufficient, surgery may be considered, depending on the defects and causes. In any case, the entire foot has to be taken into consideration:
- Lengthening of the Achilles tendon, or of a part of it;
- Transfer of a flexor tendon to the top of a toe;
- Suture of the stabilizing plantar structures;
- In case of hallux valgus or varus, they also should be surgically corrected.
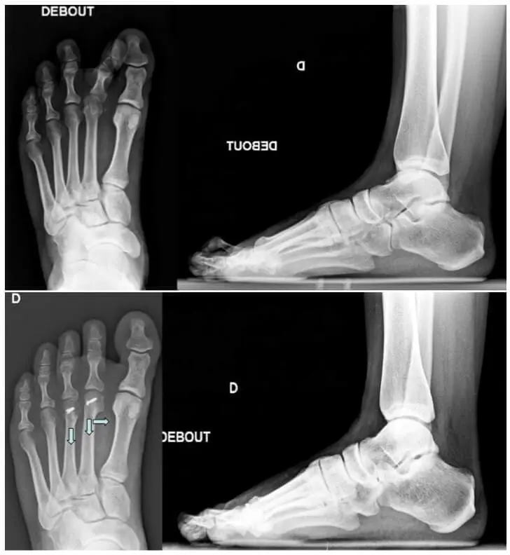
- The most common procedure is an osteotomy, in which the metatarsal bone (one or several), responsible for the overpressure, is relieved by making it a few millimetres shorter, or by slightly lifting it up. After such an osteotomy, a screw is usually placed, to make sure that the predetermined shortening is maintained. After the operation, one may in fact immediately lean on a specifically designed postoperative shoe.
Postoperative policy
For more information on the care, the disability, etc., please read the informative brochure concerning the pathology of the forefoot.
