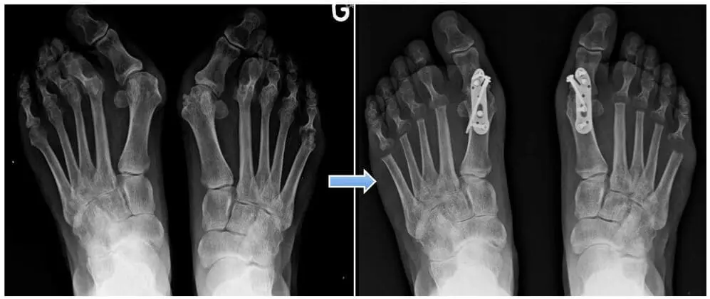
Association d’une déformation du gros orteil (Hallux valgus) et de douleur sous l’avant pied (métatarsalgie)
On doit distinguer trois groupes:
1) Votre plainte douloureuse principale se situe sous l’avant-pied (=métatarsalgie) et l’ hallux valgus ne vous gêne pas ou presque pas, malgré l’importance de la déformation1)
Si, malgré des chaussures confortables, vous n’avez pas encore commencé de traitement, il faut alors proposer des semelles orthopédiques afin de modifier les pressions de l’avant-pied ce qui soulagera vos douleurs. Nous optons le plus souvent pour des semelles entières, qui apportent souvent une meilleure stabilité. Parfois les semelles orthopédiques améliorent les douleurs plantaires mais en augmentant le volume dans la chaussure, la déformation du gros orteil aura moins de place et risque de devenir plus symptomatique et donc douloureux. Si les soins podologiques, de pédicure et les semelles soulage insuffisamment, une chirurgie est recommandable. Dans ce cadre, il est important de comprendre que le traitement de la métatarsalgie est indissociable de la déformation du gros orteil. Ce qui veut dire que le traitement de la métatarsalgie imposera la correction de l’hallux valgus, même si celui ci n’est pas à l’avant plan au niveau de votre plainte.
2) Votre plainte principale se situe au niveau de l’ hallux valgus et la douleur sous l’avant pied est peu importante. Cependant, il vous arrive d’avoir mal et de souffrir de durillons ou des orteils
Cette situation reflète une souffrance débutante du reste de l’avant pied et c’est la conséquence d’un défaut de fonction du gros orteil lors de la marche. De part la déformation, l’hallux valgus deviendra « plus court » et moins propulsif par rapport aux autres orteils. C’est cet excès de pression sur le centre de l’avant pied, que vous ressentez et correspond à la métatarsalgie. On conseille alors une semelle adaptée afin de soulager et de mieux répartir les pressions d’appui mais cette solution soulagera peu la déformation du gros orteil, au contraire. La chirurgie à ce stade restabilise le pied et évite de réaliser une chirurgie plus lourde. La chirurgie isolée de l’hallux donne alors un résultat suffisant.
3) Vous souffrez de votre hallux valgus autant que de votre métatarsalgie
Dans cette situation, si le traitement conservateur par consigne de chaussage et semelle orthopédique n’a pas donné le résultat attendu, la correction du gros orteil et du reste de l’avant-pied sera indispensable.
