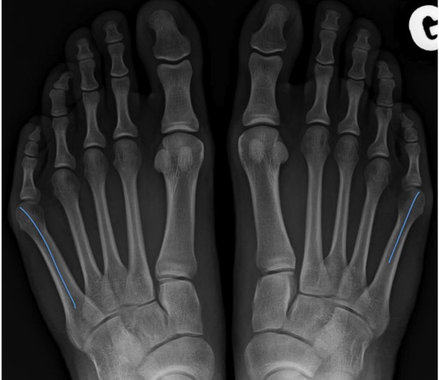
Définition
Se définit comme une instabilité et un conflit sur la cinquième tête métatarso-phalangienne et donc l’équivalent en miroir de l’hallux valgus, mais située sur le bord externe du pied.
Symptômes
Ils sont dus aux frottements et / ou la surcharge mécanique qui provoquent une inflammation ou des durillons sur le bord externe du cinquième métatarsien.
Causes
Cette malformation était typique chez les tailleurs, d’où son appellation, chez qui la position assise en tailleur créait une pression continue sur le bord externe du pied. La morphologie du cinquième rayon favorise le conflit lors du chaussage.
Traitements
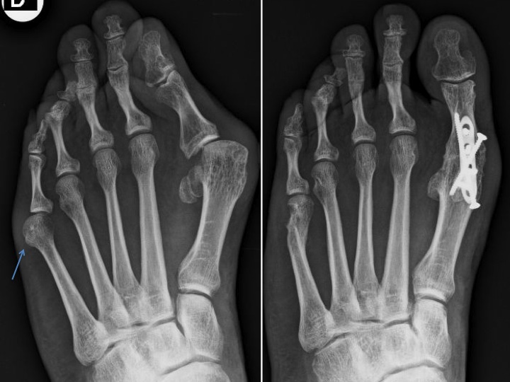
Si le traitement conservateur, basé sur des chaussures adaptées et des soins podologiques, ne suffit plus, on peut proposer une opération. C’est par une ostéotomie (ouverte ou percutanée) qu’on corrigera la déformation, dépendante du type de bunionette et analysée par une radiographie du pied en charge.
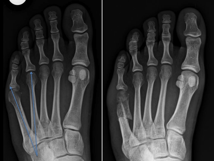
Type 1 : dans 33% des cas : augmentation de la taille de la tête du cinquième métatarsien situé sur le bord externe du pied : une réduction de volume sera recommandée.
Type 2 : dans 23% des cas : courbure latérale excessive du cinquième métatarsien ; une ostéotomie distale peut réajuster cette déformation.
Type 3 : dans 44% des cas : augmentation excessive de l’angle intermétatarsien 4-5 : une ostéotomie proximale ou une ostéotomie au niveau de la malformation permet de normaliser cet angle.
Soin postopératoire
Dans la plupart des cas, cette opération s’effectue en hôpital de jour. On vous demande de décharger relativement l’avant-pied en portant une chaussure postopératoire adaptée.
Pour plus d’information sur les soins postopératoires, l’incapacité de travail etc. consultez la brochure informative concernant la pathologie de l’avant-pied.
