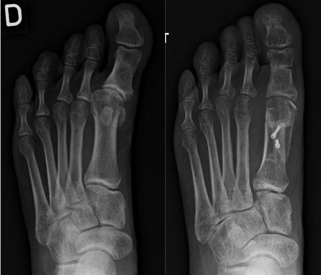
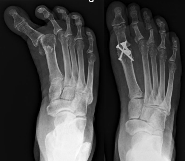
Hallux Varus

Définition

Le terme “hallux” fait référence au “gros orteil”. Dès que le gros orteil s’écarte de sa position axée vers l’autre pied, on peut parler d’une déformation en « varus ».

Causes

Généralement, un hallux varus survient dans les suites d’une opération pour un hallux valgus, et est de fait une complication due à un excès de correction. D’autres causes sont cependant possibles : post-traumatiques, en association à certaines maladies systémiques inflammatoires comme la polyarthrite rhumatoïde ou le psoriasis, quelques cas sont congénitaux…

Symptômes

Au stade initial de la déformation, l’articulation peut être remise en position axée par une simple pression des doigts, par vous même ou par le chirurgien tout en maintenant sa mobilité. Avec le temps, l’articulation s’enraidie par une rétraction capsulaire interne et apparaît progressivement une déformation en griffe de ce gros orteil.
La plainte principale est la difficulté de chaussage puis la douleur et les effets associés sur les autres orteils.

Traitements

Sous la forme débutante et dans les suites immédiates de la chirurgie, un taping du gros orteil vers le petit orteil, pendant une période de 3 mois, peut permettre la guérison des structures molles et permettre la stabilisation de l’articulation, ce qui évitera une nouvelle intervention.
Si cette déformation est peu gênante et si la déformation reste souple, vous pouvez simplement porter des chaussures à bouts larges ce qui limite le frottement. Si la déformation et la raideur augmentent, les chaussures adaptées ne suffissent plus. On peut alors proposer une solution chirurgicale. Il faut préalablement vérifier la mobilité et la réductibilité de l’articulation métatarsophalangienne. Si elle est raide et douloureuse, la meilleure solution est alors l’arthrodèse.