Orteils en marteau

Définition

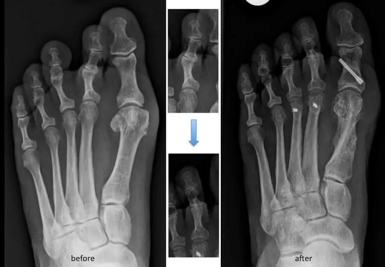
Les déformations des orteils latéraux sont assez fréquentes. Il faut distinguer l’articulation interphalangienne proximale et l’articulation interphalangienne distale (c’est l’articulation entre deux phalanges de l’orteil). Chacune d’elle peut présenter une déformation en extension ou en flexion.

Au début, les déformations sont souples et réductibles. Cependant avec le temps, ces déformations s’enraidissent et ne sont plus réductibles par de simples manipulations.

Symptômes

Ce qui vous gêne principalement, c’est la présence de callosité, de durillon, ou de conflit inters digitaux appelés «œil-de-perdrix» sur les sites de conflit avec la chaussure. Parfois même, si les conflits sont importants, des plaies et des ulcères peuvent être présents.

Origines

La cause principale est une certaine dysharmonie morphologique ou statique au niveau de l’avant-pied, souvent associée à un hallux valgus et/ou une métatarsalgie.
Il est important d’analyser au mieux la cause afin d’y apporter le traitement le plus adapté. Il ne faut pas confondre des orteils en marteau combinés à un pied creux, des orteils en marteau d’origines congénitaux, à certains syndromes neurologiques ou des orteils en marteau post-traumatiques, …les causes sont multiples et nécessitent un traitement spécifique.

Traitement

En absence d’infection ou d’ulcération chronique, on peut commencer le traitement par une semelle ou une orthèse spécifique en silicone (fabriquées par un podologue : « orthoplastie »). Cette possibilité thérapeutique est utile si les orteils en marteau sont encore souples et réductibles.

Si la douleur et la déformation persistent et qu’aucune infection n’est présente (clinique ou radiologique), une intervention peut aussi être envisagée. Cette intervention dépend principalement de l’origine de la déformation:

Résection d’un conflit douloureux et saillant (arthroplastie interphalangien)

Fixation de l’articulation douloureuse avec une certaine angulation (arthrodèse)

Allongement d’un tendon
Transfert d’un tendon

Ostéotomie de la phalange ou du métatarsien
En cas de pied creux neurologiques, il faut exécuter une correction totale, souvent accompagnée de tarsectomie afin d’éviter la récidive de la déformation.

Suite postopératoire

Exceptionnellement, une broche est mise en place et sera enlevée vers la 4ème semaine en consultation. Cette ablation n’est pas douloureuse et est à comparer à une prise de sang. En fonction de la chirurgie, le traitement postopératoire comporte l’appui immédiat sur une chaussure postopératoire adaptée durant 4 semaines ou un appui différé.
Ce type d’intervention est pratiqué en chirurgie ambulatoire. Souvent l’orteil reste gonflé et tuméfié pendant 6 jusqu’à 12 semaines, situation dont vous ne devez pas vous inquiéter.

Pour plus d’information sur les soins postopératoires, l’incapacité de travail etc. veuillez consulter la brochure informative concernant la pathologie de l’avant-pied.