Définition
Vous présentez et souffrez d’une douleur de la région postérieure de la cheville.
Symptômes
La douleur peut être ressentie comme fulgurante en descendant une rue en pente ou un escalier, ou lors de la pratique des mouvements spécifiques.
La limitation des mouvements et des mobilités est rare. Contrairement à la région du cou-de-pied ou antérieure de la cheville, la région postérieure est plus profonde et recouverte de parties molles plus épaisses, ce qui complique la tâche pour reconnaître spécifiquement les douleurs.
Cependant, certains tests cliniques, comme fléchir brusquement le pied vers le sol, tourner le pied en équin extrême, …peuvent déclancher les douleurs habituellement ressenties.
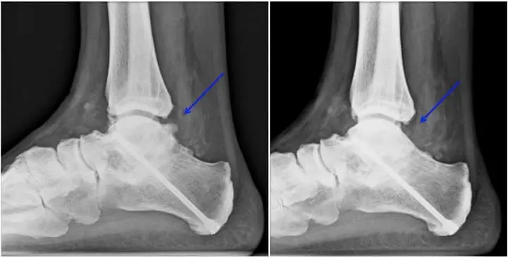
Des examens complémentaires, comme le scanner, restent indispensables à la recherche de lésions cartilagineuses, d’une arthrose débutante ou d’une souffrance ligamentaire,…
Des examens complémentaires, comme le scanner, restent indispensables à la recherche de lésions cartilagineuses, d’une arthrose débutante ou d’une souffrance ligamentaire,…
Origines
Il peut s’agir de séquelle traumatique, suite à des avulsions ligamentaires dans le cadre d’entorse ou des séquelles tendineuses avec rétrécissement des gaines tendineuses qui présente dès lors une inflammation. D’autre part, quand la douleur se localise sur la partie extérieure, il faut chercher d’autres origines de douleur.
Celle-ci peut être due à une inflammation de certaines structures articulaires chroniquement irritées par des mouvements répétitifs, souvent suite à un traumatisme, comme une entorse ‘banale’ ou une fracture de cheville. C’est d’autre part une lésion typique des ballerines surchargeant cette partie articulaire lors des mouvements en pointe « grande et demi pliée » .
Traitement
On débute par un traitement symptomatique où on essaie, à l’aide de la kinésithérapie, de diminuer l’inflammation locale.
Si les douleurs persistent, on propose alors une injection d’anti- inflammatoire ou d’anesthésiant dans la zone douloureuse, afin de confirmer le diagnostic. Par ailleurs, l’avantage principal de cette injection est d’être thérapeutique chez 60% des patients et d’apporter une guérison définitive.
Les patients restants douloureux, en dépit de l’injection, avec des plaintes récidivantes, peuvent bénéficier d’une arthroscopie. Le nettoyage de la partie postérieure s’effectuera par deux petites incisions, qui permettront d’introduire des instruments comme la caméra et les pinces qui permettent d’enlever les tissus malades, le tout en hôpital de jour.
Suite postopératoire
Afin d’éviter un hématome, qui se développe souvent après l’opération, et risque de causer les mêmes symptômes, il est fortement recommandé de mobiliser rapidement la cheville dans les amplitudes maximales, et cela immédiatement dès le réveil. De plus, l’appui sera immédiat, sauf s’il s’agit d’une lésion cartilagineuse (6 semaines avec des béquilles).
