Hallux Valgus

Définition

Le terme « hallux » fait référence au « gros orteil ». Dès que le gros orteil s’écarte de sa position axée vers le petit orteil, on parle d’une déformation en «valgus», d’où l’appellation habituelle d’hallux valgus. De part cela, il se développe inévitablement une tuméfaction osseuse à la partie interne du pied, appelée communément « bunion ou oignon ».

Causes

Plusieurs causes sont décrites. Très souvent, il y a une prédisposition congénitale et féminine. Les chaussures étroites à hauts talons peuvent initier et aggraver cette déformation. Comme il se développe un certain déséquilibre entre les structures osseuses, les ligaments et les tendons, cette déformation en « valgus » se fait progressivement vers l’aggravation. Ce processus de déformation cependant apparaît sur plusieurs et parfois dizaine d’années.

Symptômes

Le traitement dépend en grande partie de l’intensité de la gêne que vous ressentez. Comme des chaussures trop contraignantes aggravent la douleur au niveau de la bosse, les symptômes sont étroitement liés au type et à la pointure des chaussures que vous portez. Quoi qu’il en soit, chacun a sa sensibilité propre. Certaines déformations qui semblent minimes sont pourtant parfois à l’origine de douleurs fort invalidantes dans toutes les activités quotidiennes. Alors que des déformations plus sévères montrent une excellente tolérance.

La plainte principale est donc le conflit de chaussage car le pied, et donc la « bosse », se retrouve dans un espace limité. Cela provoque un frottement, de l’inflammation et même parfois des plaies cutanées.

Le traitement dépend en grande partie de l’intensité de la gêne que vous ressentez. Comme des chaussures trop contraignantes aggravent la douleur au niveau de la bosse, les symptômes sont étroitement liés au type et à la pointure des chaussures que vous portez. Quoi qu’il en soit, chacun a sa sensibilité propre. Certaines déformations qui semblent minimes sont pourtant parfois à l’origine de douleurs fort invalidantes dans toutes les activités quotidiennes. Alors que des déformations plus sévères montrent une excellente tolérance.

La plainte principale est donc le conflit de chaussage car le pied, et donc la « bosse », se retrouve dans un espace limité. Cela provoque un frottement, de l’inflammation et même parfois des plaies cutanées.

Traitements

D’une façon réaliste, on peut distinguer deux grandes propositions thérapeutiques :
Adapter la chaussure au pied ou le pied à la chaussure…
Il ne faut pas oublier qu’une chirurgie à but esthétique est à priori une contre-indication ou doit être considérée avec prudence.

Traitement non-chirurgical

Premièrement, il faut adapter les chaussures afin de limiter le frottement. Dans ce but, on peut opter pour des chaussures plates à bouts larges et souples. Les semelles orthopédiques de par elles-mêmes, peuvent éventuellement améliorer un problème associé de l’arrière- pied ou une métatarsalgie mais quoi qu’il en soit, le gros orteil aura moins de place pour se loger. Les attelles de nuit sont utiles chez l’enfant ou l’adolescent en croissance. Ensuite, son efficacité n’est pas démontrée.

Les podologues peuvent proposer des orthèses qui corrigent et stabilisent le premier rayon de façon proprioceptive dans une certaine mesure. Ces orthèses peuvent éventuellement ralentir la déformation, mais ne donne pas une correction permanente. Si malgré toutes ces possibilités, la douleur persiste, il faudra envisager la correction chirurgicale pour être soulagé.

Traitement opératoire

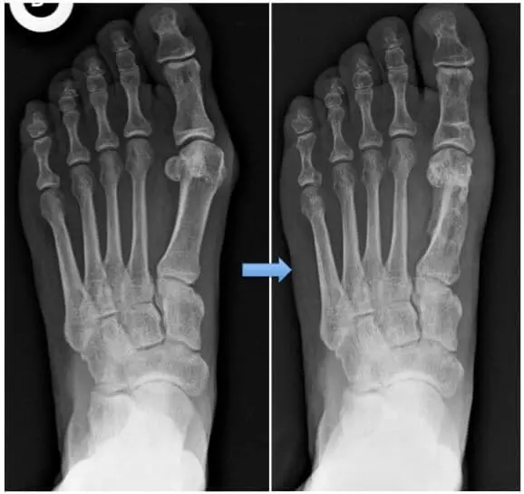
Il existe de nombreux types d’intervention pour corriger cette déformation.

La technique choisie dépendra de différents facteurs : la gravité et l’importance de la déformation, la possibilité de correction (c.-à-d. sa possibilité de réductibilité (remis en position droite par la pression des doigts), la mobilité comme la présence d’arthrose, la présence des pathologies associées comme la longueur du gros orteil par rapport aux autres, l’expérience du chirurgien… On cherchera toujours à corriger le déséquilibre articulaire en recentrant, entre autre, le métatarsien au-dessus des sésamoïdes. Différentes solutions sont brièvement résumées dont certaines sont communes:

  • La libération des tissus mous rétractés (« release »)
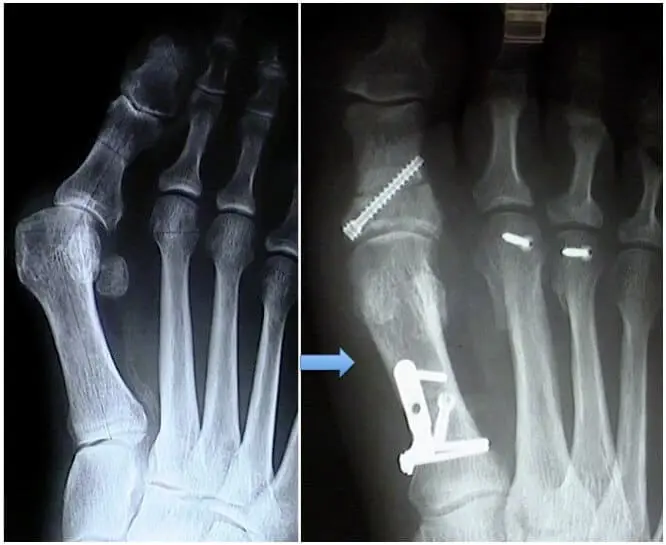
  • Une exostosectomie, ou simplement la résection de la « bosse », sera souvent insuffisante sauf exception. C’est la raison pour laquelle cette intervention est presque toujours associée à une ostéotomie du premier métatarsien.

Une ostéotomie: Selon la gravité de la déformation et de l’orientation des surfaces articulaires, l’ostéotomie peut être pratiquée à la base (basale ou proximale), au centre du métatarsien (diaphysaire) ou à son extrémité (distale).

Des ostéotomies distales, comme le Chevron et le Scarf, sont des reconstructions auto- stables fixées à l’aide d’une vis qui restera en place.

Souvent, cette correction bénéficie également d’une ostéotomie de la première phalange (Akin).

La remise en tension des capsules articulaires

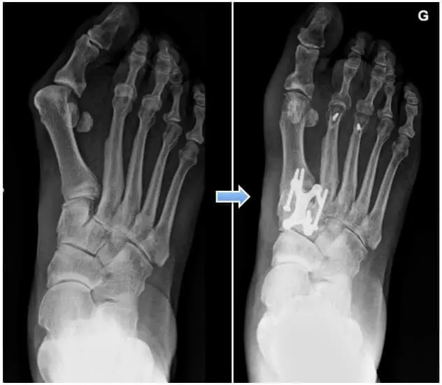
L’arthrodèse est indiquée lors de désaxations majeures ou arthrosiques. Le mode de fixation interdit souvent l’appui pendant 6 semaines ou éventuellement un plâtre de protection.

Certaines rares indications se voient proposées une indication de chirurgie percutanée, souvent fonction de l’expérience et de l’école du chirurgien.

En cas de mobilité réduite, de faible réductibilité, d’hallux valgus avec arthrose, l’arthrodèse reste pour nous une des meilleures solutions.

Suites postopératoires

Appui direct progressif ou sur une chaussure spécifique postopératoire est proposés pendant les 4 à 6 premières semaines.

Ces interventions peuvent être proposées en hôpital de jour en fonction de vos possibilités familiales, d’aide à la maison ou de la distance d’habitation. La moitié des patients préfèrent cependant passer une nuit à l’hôpital surtout vu la crainte de la douleur. Les techniques d’anesthésie actuelles ont fait de ces interventions des suites beaucoup moins douloureuses qu’anciennement. La lutte contre le gonflement ( l’œdème ) est absolument indispensable. Comme le pied est la région la plus déclive du corps, de part la gravité, le gonflement est souvent inévitable pendant quelques mois. Ce gonflement, source de douleur, doit être combattu à l’aide d’un pansement compressif mis par nos soins, en maintenant le pied surélevé le plus souvent possible et en favorisant l’application de glace,…

Quand poser l’indication d’une opération pour un hallux valgus

Si vous avez mal malgré les recommandations que nous avons proposé.
Si des troubles associés apparaissent au niveau de votre avant pied (métatarsalgie ou pathologie des petits orteils.